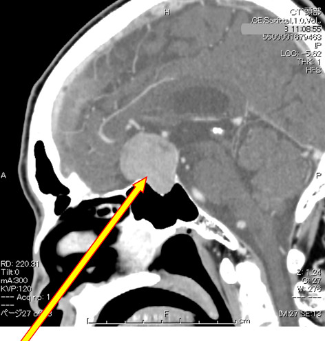
下垂体部に発生する腫瘍性病変として最も一般的なものが、下垂体腺腫です。下垂体腺腫は下垂体の一部の細胞が腫瘍化したものです。組織学的には良性の腫瘍で、一般的には他の部位に転移したりすることはありません。しかし、非常に稀ですが(約0.1%)、他の脳組織や臓器に転移するものも報告されており、下垂体癌と呼ばれています。
下垂体腺腫は、一般的には、下垂体の前葉から発生します。ホルモンを過剰に分泌するもの(ホルモン産生腺腫)とホルモンを分泌しないもの(非機能性腺腫)に大きく分けられ、ホルモン分泌の種類により下記のごとく分類されます。
成長ホルモン産生下垂体腺腫:先端巨大症・巨人病
プロラクチン産生下垂体腺腫:プロラクチノーマ
副腎皮質刺激ホルモン産生下垂体腺腫:クッシング病
甲状腺刺激ホルモン産生下垂体腺腫
性腺刺激ホルモン産生下垂体腺腫
非機能性下垂体腺腫:ホルモンの過剰分泌がみられない腫瘍
原発性脳腫瘍中、第3番目に多い腫瘍ですので、稀な腫瘍ではありません。一般的には、青壮年期から老年期に多く発生しますが、稀に、小児期にも見られます。小児例ではホルモンを過剰分泌する腫瘍が多く、高齢者例では非機能性腺腫が多くみられます。
発生頻度は、非機能性腺腫(約40%)、プロラクチン産生腺腫(約30%)、成長ホルモン腺腫(約20%)、副腎皮質刺激ホルモン産生下垂体腺腫(約5%)、甲状腺刺激ホルモン産生下垂体腺腫(約1%)、その他(約4%)であります。
腫瘍が大きくなって下垂体の上にある視交叉(視神経)を圧迫すると視力、視野障害が出現します。視野は両側の外側が見えにくくなる(両耳側半盲)場合が多いです。頭痛もよく見られます。下垂体腺腫を持っている人に突然のひどい頭痛が生じたときには下垂体卒中といって腫瘍の中で出血や梗塞を起こしていることがありますので、すぐに脳神経外科を受診する必要があります。また正常な下垂体組織が障害を受けて下垂体機能低下症(別項参照リンク)をきたすことがあり、1cm以上の非機能性下垂体腺腫の58%の患者さんになんらかのホルモン分泌低下があったという報告があります。
またホルモンの過剰分泌により、様々な症状を呈します。
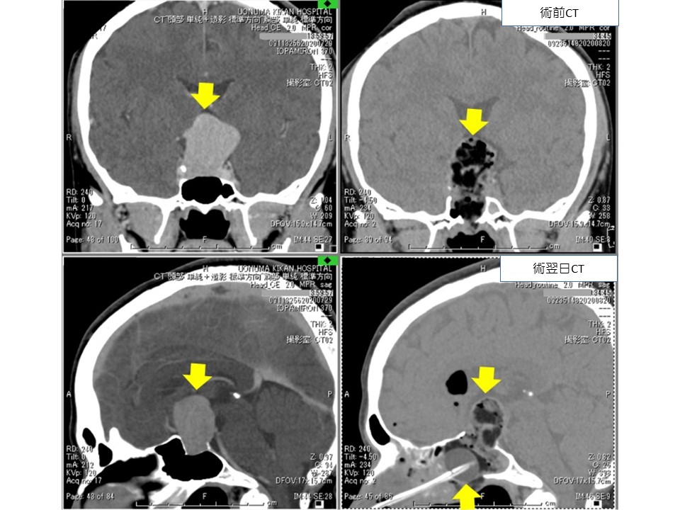
下垂体腺腫に対する手術治療の第一選択は、経鼻的摘出となっており、内視鏡の発達により、従来は開頭手術を要した比較的大きな下垂体腺腫も、内視鏡下に経鼻摘出されます。


