内視鏡下経鼻的腫瘍摘出術(頭蓋底脳腫瘍)

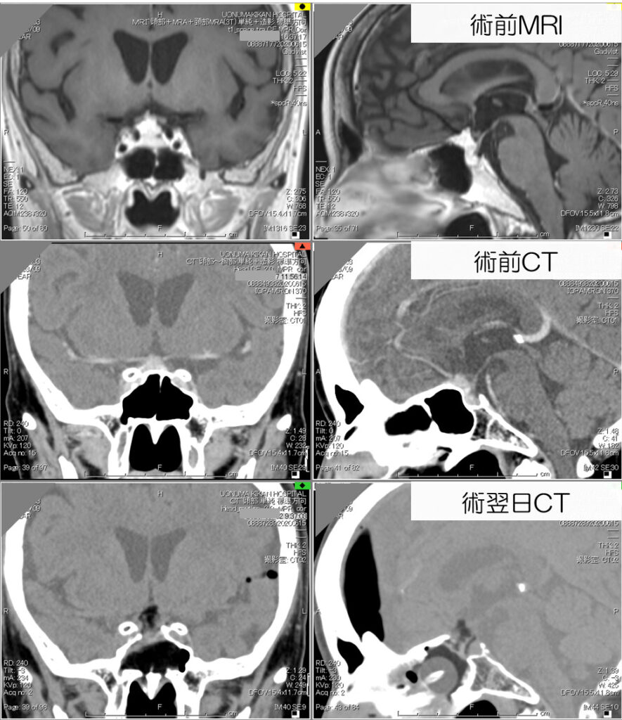
鞍結節部髄膜腫

下垂体腺腫摘出の応用・発展として、鞍結節部髄膜腫を経鼻的に摘出することが出来ます。

従来は開頭手術を要しました。

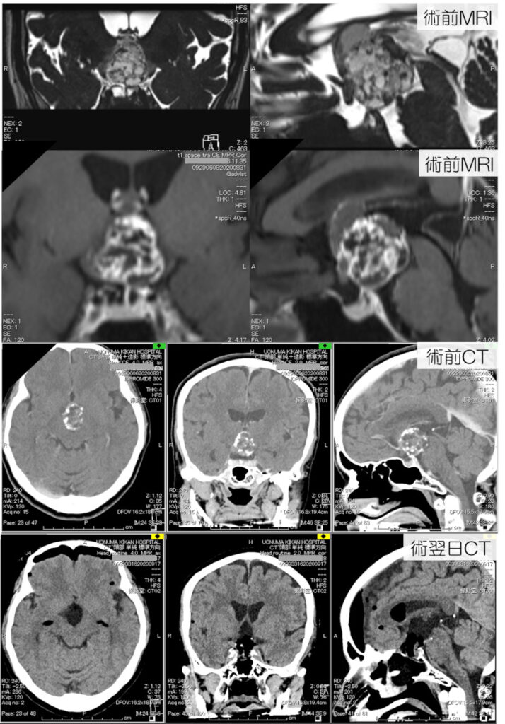
頭蓋咽頭腫

頭蓋咽頭腫も、経鼻摘出されるようになってきております。従来は開頭手術を要しましたが、下垂体腺腫摘出の応用・発展として、これらを経鼻的に摘出出来るようになってきております。経鼻手術の術式の適応は、術前評価により適切に判断する必要があります。

よくアクセスされるページのご案内