肺切除量の大きい順に片肺全摘術、肺葉切除術、区域切除術、部分切除術に分けられます。がんを確実に切除して治すという目的を最優先にしつつ、体への負担とのバランスで術式が決められます。通常はそれらの術式にリンパ節の切除が追加されます。癌が周囲に浸潤している場合はその部位が一緒に切除されたり、気管支形成術や血管形成術が追加されることもあります。肋骨を切断して胸を開いてく開胸手術が昔から行われてきましたが、近年は小さな傷から胸腔鏡というカメラと細い道具を挿入して行う胸腔鏡下手術が主流になってきました。当院でも癌が非常に大きい場合や片肺全摘術が必要な場合以外は体への負担の少ない胸腔鏡による手術を行っています。


肺葉切除術は歴史的に最も多く行われてきた肺がんに対する術式で標準手術と言われてきました。近年は胸腔鏡を使って行われることが多く、当科では立体視のできる3Dカメラと高精細モニターを用いて、1cmの傷2か所と2-3cm程度の傷1か所、合計3か所の傷で手術を行っています。手術時間は2~3時間以内です。

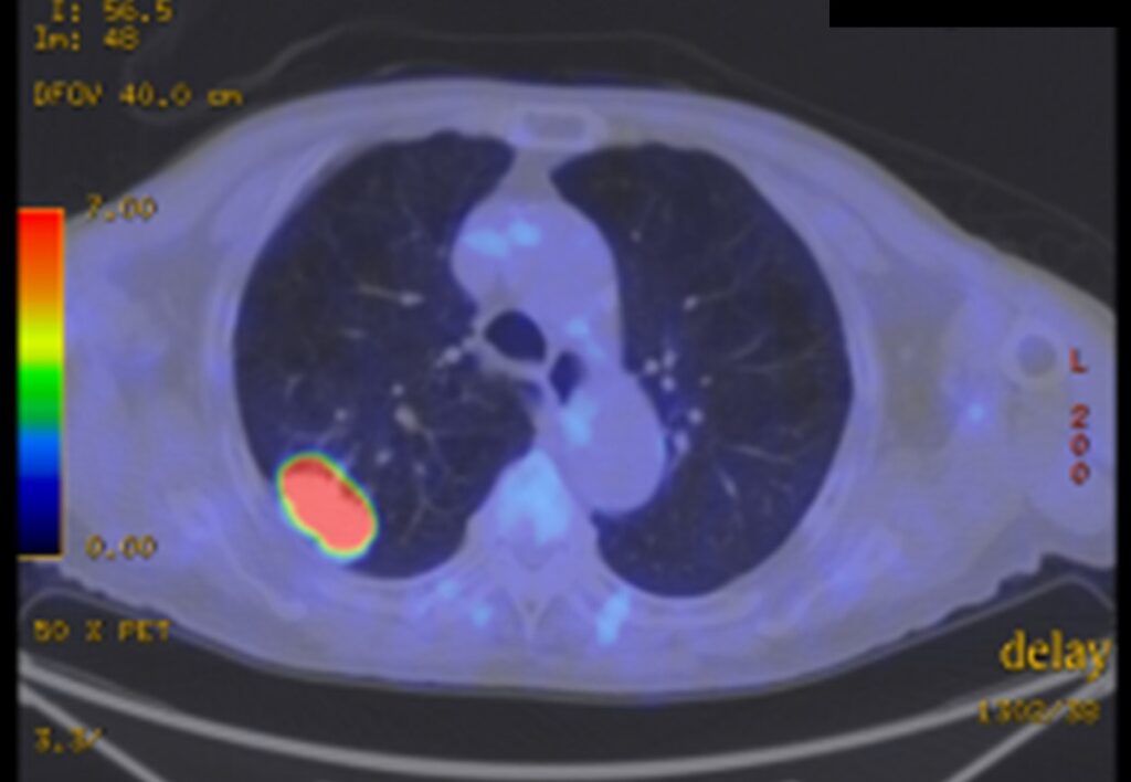
肺葉切除術よりも肺機能をたくさん残せるメリットがありますが、手術操作が細かくなり難易度は少し上がります。高齢者の増加と早期肺がんに対する縮小手術の適応拡大で今後ますます増えてくる術式です。当科では複数の区域を同時に切除する術式や、亜区域切除術など更に複雑で難しい手術も完全胸腔鏡下で多数行っています。肺葉切除術に比べると手術時間が少しだけ長くなりますが傷の大きさは同じです。2016年からは赤外光を照射できる特殊な5mmの胸腔鏡とインドシアニングリーン(ICG)という検査で使う色素を用いて区域間を明瞭に描出しながら手術を行っています。術前に作成した肺動静脈や気管支の詳細な3D画像を手術中に確認しながら、最先端の方法を駆使して複雑な手術も安全確実にできるようになっています。


がんを治すという点で他の術式よりも劣る可能性があるため、肺をたくさん切除することが大きな負担になる超高齢者や肺機能が非常に悪い方などが対象になります。極早期の肺腺癌の方に対して行われることもあります。通常は難しい手術ではないため5mm径の胸腔鏡を用いて1~3か所の傷(1か所は1~数cmの皮膚切開)で行います。1時間以内の手術が多く、回復も早いため術後数日で退院可能になることが特徴です。
開院以来、肺癌手術の95%が胸腔鏡を使用して行われています。もっとも多い術式は胸腔鏡下肺区域切除術です。また気管支形成術や血管形成術などの難しい手技が必要な場合でも胸腔鏡による手術が行われています。当科ではCT画像を基に術前に肺動静脈や気管支の立体画像を作成して、手術方法の検討や手術のシミュレーション、術中ナビゲーションに活用し、安全確実に手術を行うように努めています。
通常は、手術前日に入院して翌日朝から全身麻酔での手術を受けていただきます。手術翌日朝から離床、経口摂取を開始します。部分切除術では術後数日、区域切除術や肺葉切除術でも数日から1週間以内に退院できることがほとんどです。デスクワークであれば術後2週間程度で復帰可能です。80歳以上の高齢者であっても肺機能をたくさん残す区域切除術などの術式を積極的に行い、体力の低下なく術前と同様の生活に早く戻れるように努めています。

