気管支鏡下気管・気管支ステント留置術

ステント挿入による呼吸困難の解消

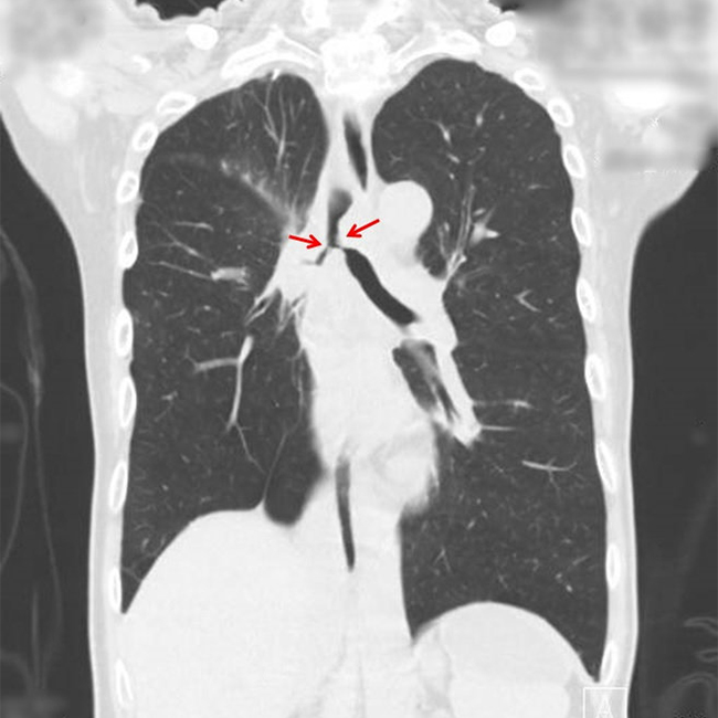
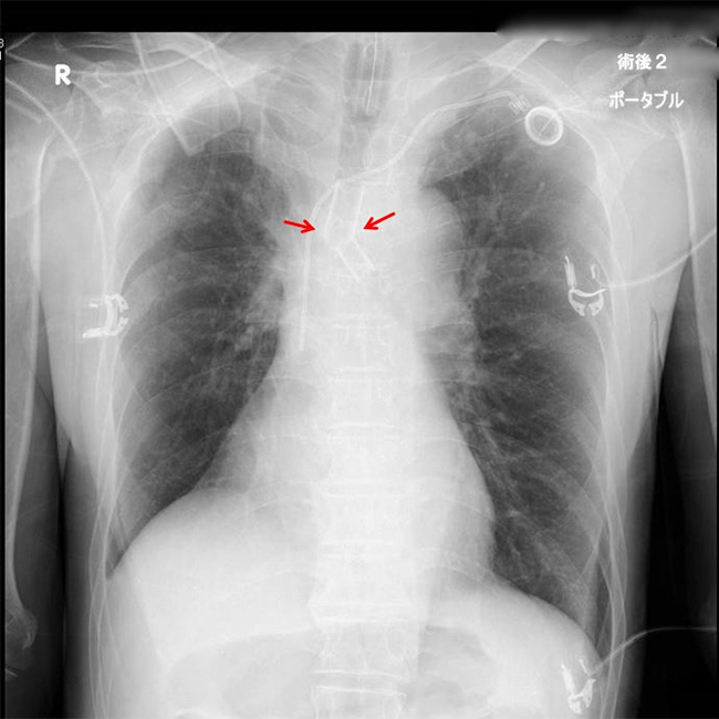
がんや結核後遺症などが原因で気管支内腔が狭くなり呼吸が苦しくなった場合にステント留置術が行われることがあります。メスを用いることなく呼吸困難を解消することが目的です。軟性または硬性の気管支鏡を用いて気道内にステントを挿入し狭くなった気管・気管支を拡張します。レーザー治療や風船による拡張術が併用されることもあります。通常の麻酔や気道確保が困難な場合は、麻酔科医・臨床工学士・呼吸器内科医など多くのスタッフと協力して一時的な体外式膜型人工肺(ECMO・エクモ)も併用して安全確実に手術を行います。

よくアクセスされるページのご案内