基本情報
当科では、脳血管障害(脳梗塞、一過性脳虚血発作、脳出血、くも膜下出血、未破裂脳動脈瘤、頸動脈狭窄、脳動静脈奇形、海綿状血管腫など)、頭部外傷(急性硬膜下血腫、急性硬膜外血腫、慢性硬膜下血腫、脳挫傷等)、脳腫瘍(神経膠腫、髄膜腫、神経鞘腫、下垂体腺腫、頭蓋咽頭腫、脊索腫など)、顔面けいれん、三叉神経痛、難治性てんかんなどの機能的脳神経外科疾患、特発性正常圧水頭症、先天性水頭症、先天奇形などの小児神経外科疾患等、脳神経外科疾患全般にわたり、新潟大学脳神経外科学教室と連携して対応しております。外来受診に当たって、新患は月〜金曜日に受け付けています。前医からの紹介状やCT・MRIなどの画像情報があると診察が円滑に進みます。
脳梗塞・脳出血・くも膜下出血等の治療を行っております。脳出血においては定位脳手術装置による血腫除去、神経内視鏡による血腫除去も可能です。またくも膜下出血に対しては脳動脈瘤に対し開頭手術や新潟大学脳神経外科の支援による血管内治療も行っております。当施設は、日本脳卒中学会が定める一次脳卒中センター(Primary Stroke Center:PSC)
に認定されております。

頭部外傷全般について手術対応可能です。当施設は、日本脳神経外傷学会の認定研修施設です。

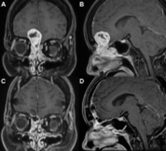
髄膜腫、下垂体腺腫、頭蓋咽頭腫、神経鞘腫に対する手術が可能です。経鼻内視鏡手術が可能です。聴神経腫瘍などの一部の脳腫瘍は新潟大学脳神経外科と連携して、対応しております。

神経膠腫や悪性リンパ腫、転移性脳腫瘍等に対応可能です。
先天性水頭症、先天奇形などの小児神経外科疾患等は、新潟大学脳神経外科と連携し、治療を行っております。神経内視鏡を使った水頭症の治療等が可能で、緊急時の対応も可能です。